本文へ移動

空間トランスクリプトーム解析

空間トランスクリプトーム解析は、組織切片上における遺伝子発現を空間情報とともに網羅的に解析する手法です。本解析により、組織構造や細胞配置を保持したまま、遺伝子発現の局在や領域特異的な分子特性を明らかにすることが可能となります。近年では、がん微小環境の解析、発生・分化過程の解明、感染症や炎症組織における免疫応答の可視化など、幅広い研究分野で活用されています。

弊財団では、下記3種類のアプリケーションでの受託解析に対応しています。

Visium HD

概要

Visium HD空間的遺伝子発現解析は、組織構造をそのまま保持した状態で、細胞レベルの遺伝子発現情報をNGSベースにて取得できる革新的な技術です。本手法を用いることで、従来のバルク解析やシングルセル解析では失われがちであった「細胞の空間的な位置関係」を高精細に捉えることが可能となります。

解析内容

Visium HD WTパネルでは、FFPEブロックより切片スライドを作製し、HE染色を行い、画像を取得します。HE染色画像を確認いただき、解析領域を選択いただきます。シーケンスライブラリー調製、NovaSeqシーケンサー(Ilumina社)もしくはDNBシークエンサー(MGI社)にてシーケンスを実施し、Space Rangerを用いて情報解析を実施します。解析結果はVisium空間的遺伝子発現解析の結果を可視化するLoupe Browser(10x Genomics社のウェブサイトから無償でダウンロード可能)で閲覧・追加解析いただけます。

*FFPEブロック作製、スライド作製等の一連の作業において受託対応可能。
*FFPE切片スライド、新鮮凍結切片スライド(10x Genomics社推奨スライド使用)での受付も可能です。

Fig.1 解析作業フロー (provided by 10x Genomics)

Visium HD専用スライドには、6.5 × 6.5 mmのキャプチャーエリアが2領域搭載されており、それぞれの領域には約1,100万個の2 × 2 µmサイズの正方形グリッドが敷き詰められています。各グリッドには固有のバーコードを持つオリゴヌクレオチドが配置されており、これにより単一細胞レベルに迫る空間分解能での遺伝子発現解析が可能になります。(Fig.2)
この高精細な空間情報と遺伝子発現データを統合することで、組織内での細胞の役割や相互作用をより深く理解でき、病態解明や創薬研究に大きく貢献することが期待されます。

Fig.2 Visium HDスライドの構成 (provided by 10x Genomics)

Fig.3 CytAssistでのプローブキャプチャーの流れ (provided by 10x Genomics)

特徴

空間情報の保持

組織内の細胞を位置情報ごとに解析でき、細胞の配置や組織構造と遺伝子発現を統合的に理解可能。

高解像度解析

2 × 2 µmの正方形グリッドにより、単一細胞レベルに迫る空間分解能でのRNA発現解析を実現。

組織形態との統合

HE染色画像や免疫染色画像と遺伝子発現マップを重ね合わせることで、形態学的特徴と分子情報を直接比較。

広い解析領域

1枚のスライドで最大2領域(各6.5 × 6.5 mm)の解析が可能で、大きな組織や複数サンプルの同時解析にも対応。

幅広い応用

疾患研究、バイオマーカー探索、創薬研究など、基礎から臨床研究まで幅広く活用可能。

解析例

Visium HDで取得したデータは、専用ソフトウェアSpace Rangerにより前処理・解析され、その結果を Loupe Browser 9.0上で直感的に可視化できます。
ライブラリ調製前に組織切片をH&E染色し、その画像を遺伝子発現マップと重ね合わせることで、形態学的特徴(組織構造や細胞の分布)と分子情報(遺伝子発現パターン)を統合的に比較可能です。これにより、例えば特定の細胞集団の局在や、病変部と周辺部の遺伝子発現差異を明確に捉えることができます。(Fig.4)(Fig.5)(Fig.6)

Fig.4組織H&E染色画像(マウス肺)

Fig.5組織の遺伝子発現解析マップ(マウス肺)

Fig.6マウス肺組織Visium HDデータの解析例

解析可能なサンプル

アプリケーション Visium HD WT パネル
サンプル

FFPEブロック、FFPE切片スライド、新鮮凍結切片スライド

動物種 ヒトまたはマウス
解析メカニズム 全トランスクリプトームパネルのそれぞれの標的遺伝子に対するプローブを使用して組織中の発現遺伝子を検出します。
サンプル提出の流れ ご依頼方法参照

納品物

  • 作業報告書
  • シーケンスデータ(fastq)
  • 解析データ(Space Ranger解析結果) 一式

Xenium In Situ(Prime 5K / v1)

概要

空間トランスクリプトーム解析は、組織切片上の細胞の位置情報を保持したまま遺伝子発現を解析できる革新的な解析技術です。従来のバルク解析やシングルセルシングルセル解析では失われていた「どの細胞が、どこで、どの遺伝子を発現しているか」という空間情報を保持したまま解析できる点が大きな特長です。
Xenium In Situ(10x Genomics社)は、FFPE切片および新鮮凍結切片の双方に対応した、高解像度の空間トランスクリプトーム解析プラットフォームです。特定の遺伝子パネルに対応したプローブを組織切片上のmRNAに直接ハイブリダイズさせ、蛍光シグナルとして可視化することで、単一細胞レベルで数千遺伝子の発現を空間的に同定します。
Xenium In Situは、組織構造と遺伝子発現の関係性を直接的に解明できるため、がん微小環境解析、病理学的研究、創薬研究、トランスレーショナルリサーチなど、幅広い分野での応用が期待されています。

解析内容

Xeniumでは、Padlock probeと呼ばれる、標的遺伝子配列に相補的な配列を両端に持つ南京錠型プローブを使用します。ターゲットmRNAに正確にハイブリダイズしたプローブのみが、両端のライゲーションにより環状構造を形成します。この環状プローブに対してRolling Circle Amplification(RCA)を行うことで、蛍光色素結合配列を多数含む長鎖DNAが生成され、高感度かつ高特異的な検出が可能となります。FFPEブロックから作製した組織切片スライドに対し、このPadlock probeおよびRCAケミストリーを用いることで、最大約5,000遺伝子のRNA発現を高い空間解像度で検出します。取得されたデータは、10x Genomics社提供の専用解析プラットフォーム Xenium Onboard Analysisにより、細胞セグメンテーション、遺伝子発現解析、空間可視化まで一貫して解析可能です。

*FFPEブロック作製、スライド作製等の一連の作業において受託対応可能。
*FFPE切片スライド、新鮮凍結切片スライド(10x Genomics社)での受付も可能。

Fig.1 解析作業フロー (provided by 10x Genomics)

Xenium専用スライドには、235 mm2(10.45 mm x 22.45 mm)の解析領域が搭載されており、解析領域を規定する fiducial frame が設けられています。本フレームはイメージングおよび空間座標取得の基準となり、組織切片はフレーム内に配置する必要があります(Fig.2)。これにより、組織構造と遺伝子発現情報を高精度に対応付けることが可能です。

Fig.2 Xeniumスライドの構成 (provided by 10x Genomics)

特徴

Xeniumで解析後の組織切片を用いて、H&E染色やVisiumによる空間的遺伝子発現解析を実行することも可能です。
空間解像度:方向は30nm未満、Z方向は100nm未満(転写物の局在精度)

検出遺伝子数

  • Xenium v1:最大480遺伝子+100カスタマイズ
  • Xenium Prime 5K:5,000遺伝子+100カスタマイズ

解析例

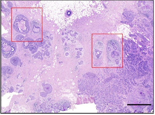
Xenium Analyzerで取得したデータは、専用ソフトウェア Xenium Explorerにて解析結果を直感的に可視化できます。Xenium解析後の組織切片をH&E染色し、その画像を遺伝子発現マップと重ね合わせることで、形態学的特徴(組織構造や細胞の分布)と分子情報(遺伝子発現パターン)を統合的に比較可能です。これにより、例えば特定の細胞集団の局在や、病変部と周辺部の遺伝子発現差異を明確に捉えることができます。(Fig.3)(Fig.4)(Fig.5)

Fig.3組織H&E染色画像(ヒト乳腺腫瘍)
(provided by 10x Genomics)

Fig.4組織の遺伝子発現解析マップ(ヒト乳腺腫瘍)
(provided by 10x Genomics)

Fig.5ヒト乳腺腫瘍Xenium v1データの解析例
(provided by 10x Genomics)

プローブセットについて

Xenium In Situでは事前に検証された遺伝子パネルセットを使用することが出来ます。 設計済みパネルに無い遺伝子等を目的とする場合にはカスタムパネルを設計することも可能です。

設計済みパネルと主なターゲット例(ヒト)

  • 腫瘍免疫:免疫細胞、チェックポイント等(380遺伝子)
  • 多組織・がん:乳房、結腸、心臓、腎臓、肝臓、肺、膵臓などの遺伝子マーカー(377遺伝子)

解析可能なサンプル

アプリケーション Xenium In Situ (Prime 5K / v1)
サンプル

FFPEブロック
FFPE切片スライド、新鮮凍結切片スライド

切片の厚さ

  • OCT包埋された新鮮凍結切片:10μm厚
  • FFPE切片:5μm厚

事前に別途切片を作製し、次に示す方法を用いてQCを終えていること
注)事前確認は通常のスライドガラスに張り付けて実施してください
In situ hybridization (ISH)による組織切片上での検出可能なRNAの量を確認する(推奨)

  • DV200測定
動物種 ヒトまたはマウス
Xenium v1 全生物種最大480遺伝子フルカスタム可能*)
*ヒトまたはマウス以外の場合は事前にご相談ください
解析メカニズム 数百~最大5千遺伝子をターゲットとするトランスクリプトームパネルを使用して組織中の発現遺伝子を検出する。
Xenium v1:最大480遺伝子+100カスタマイズ
Xenium Prime 5K:5000遺伝子+100カスタマイズ
サンプル提出の流れ ご依頼方法参照

納品物

  • Xenium Analyzer 出力データ
    • analysis_summary
    • Xeniumファイル
  • (H&E染色を委託した場合)画像データ
    • H&E染色画像ファイル

ご依頼方法

依頼方法 受託解析窓口()にメールにて解析希望アプリケーションならびにサンプル情報等をご連絡ください。
提出方法
  1. 依頼書をダウンロードいただき、記入をお願いします。
  2. 受託解析窓口()にメールの上で、依頼書を同封して宅配便にて下記住所にご送付ください。
    メール送付の際に、事前に送付日をご連絡ください。
検体郵送条件 FFPEブロック、FFPE切片スライド:室温でご送付ください。
新鮮凍結切片スライド:検体をドライアイスにて保冷し、-15℃以下の冷凍便でご送付ください。
なお、宅配便到着は平日午前着となるようにご提出をお願いします。
郵送先 〒565-0871 大阪府吹田市山田丘3-1 南館1階
一般財団法人阪大微生物病研究会
納期 約4週間*
*年度末は納期が6〜8週間程度になることがございますので早めのご相談をお願いいたします。

固定組織・FFPEブロックでのご提出も可能です。
ブロック作製、各アプリケーションのスライド作製からご希望の際は、下記のお問い合わせ先までご連絡ください。

お問い合わせ先

一般財団法人阪大微生物病研究会

〒565-0871 大阪府吹田市山田丘3-1 南館1階

06-6877-4801

Email: